דלג לתוכן
ראשי
אודות
השירותים שלנו
אסתטיקה
ייעוץ אסטרטגי טכני
טיפולי שורש
טיפולים מונעים
טיפולים משמרים
כירורגית פה ולסת
שירותי תחזוקה לתותבות
תיקון שברים
שאלות נפוצות
מפי הרופא
חוות דעת
עבודות
צור קשר
ראשי
אודות
השירותים שלנו
אסתטיקה
ייעוץ אסטרטגי טכני
טיפולי שורש
טיפולים מונעים
טיפולים משמרים
כירורגית פה ולסת
שירותי תחזוקה לתותבות
תיקון שברים
שאלות נפוצות
מפי הרופא
חוות דעת
עבודות
צור קשר
Facebook
Instagram
עבודות
הכל
בוטוקס
חומצה היאלורונית
שיניים
בוטוקס מצח
העלמת קמטי מצח
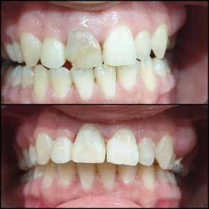
תיקון שייניים
מילוי בחומצה היאלורונית
מילוי קמטים בחומצה היאלורונית
עיצוב ומילוי שפתיים
מילוי נפחים
מילוי נפחים
מילוי קמטי מצח
מילוי חומצה היאלורונית
קו לסת
מילוי שפתיים
תיקון שיניים
מילוי חומצה היאלורונית
מילוי קמטי מצח
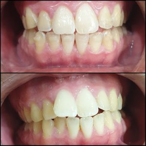
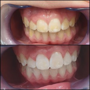
הבהרת שיניים
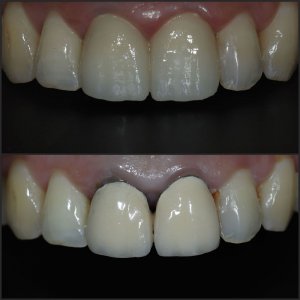
ציפוי חרסינה על שן בודדת
בוטוקס - צידי עיניים
טיפול לאיכות העור
חומצה היאלורונית - קו לסת
בוטוקס - צידי עיניים
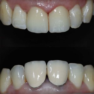
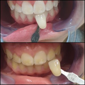
שחזור אסתטי ופונקציונלי של שן קדמית על ידי כתר על בסיס זרקוניה בהתאמת צבע אישית
חומצה היאלורונית - מילוי שקעי עיניים
הבהרת שיניים
בוטוקס - צידי עיניים
חומצה היאלורונית - מילוי נפחים
חומצה היאלורונית - מילוי ועיצוב שפתיים
בוטוקוס - טשטוש קמטים בעזרת בוטוליניום טוקסין
חומצה היאלורונית - שחזור נפחים
חומצה היאלורונית - שחזור נפחים
חומצה היאלורונית - שחזור נפחים
חומצה היאלורונית - עיצוב שפתיים
חומצה היאלורונית - עיצוב סנטר
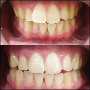
ישור שיניים בקשתות שקופות
ישור שיניים בקשתות שקופות
ישור שיניים בקשתות שקופות
ישור שיניים בקשתות שקופות
ישור שיניים בקשתות שקופות
בוטוקוס - צידי עיניים
חומצה היאלורונית - העלמת קמטים
בוטוקוס - מצח העלמת קמטים
טיפול בוטוקוס בצידי העיניים
חומצה היאלורונית - הענקת נפח לשפתיים
בוטוקוס - מצח
טיפול בוטוקוס בצידי בעיניים
חומצה היאלורונית - שחזור נפחים
כתר זמני
טיפול בוטוקס בצידי העיניים
חומצה היאלורונית - העלמת קמטים
חומצה היאלורונית - הענקת נפח לשפתיים
טיפול בוטוקוס - צידי עיניים
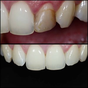
ציפוי חרסינה בהליך מזערי פולשני
התאמת צבע אישית
חומצה היאלורונית - מילוי שפתיים
בוטוקס - צידי עיניים
בוטוקס - קמטי גבות
בוטוקוס - צידי עיניים
חומצה היאלורונית - שחזור נפחים
חומצה היאלורונית - הענקת נפח לשפתיים
בוטוקס - מצח
בוטוקס - צידי עיניים
בוטוקס - צידי עיניים
חומצה היאלורונית - הענקת נפח לשפתיים
חומצה היאלורונית - הענקת נפח לשפתיים
חומצה היאלורונית - הענקת נפח לשפתיים
בוטוקס - מצח
טיפול בוטוקוס בין הגבות
חומצה היאלורונית - הענקת נפח לשפתיים
ציפוי חרסינה
טיפול בבוטוקס בצידי העיניים
ציפוי חרסינה
הבהרת שיניים
הבהרת שיניים
בוטוקס - העלמת קמטים במצח
בוטוקס - העלמת קמטים בצידי העיניים
טיפול בוטוקס במצח
חומצה היאלורונית - שחזור נפחים
טיפול בוטוקס צידי עיניים
חומצה היאלורונית - קו לסת
מילוי קמטים בחומצה היאלורונית
חומצה היאלורונית - שחזור נפחים
חומצה היאלורונית - שחזור נפחים
חומצה היאלורונית - שחזור נפחים
חומצה היאלורונית - קו לסת
חומצה היאלורונית - עיצוב שפתיים
חומצה היאלורונית - שחזור נפחים
טיפול בוטוקס צידי עיניים
שיקום שיניים בעזרת ציפויי חרסינה בהתאמת צבע אישית
שיקום שיניים בעזרת ציפויי חרסינה בהתאמת צבע אישית
טיפול בוטוקוס בין הגבות
העלמת קמטים במצח
העלמת קמטים במצח
העלמת קמטים בצידי העיניים
העלמת קמטים בצידי העיניים
מילוי קמטים בחומצה היאלורונית